안녕하세요
치주염으로 인한 치아 통증을
어떤 방법으로 해결할 수 있는지
고산동 치과 에서 소개해드리겠습니다.
왼쪽 위 아래 어금니에서
통증이 느껴진다면 잇몸 염증을
의심해볼 필요가 있습니다.
특히 음식을 먹을 때 불편함이
지속되거나 이가 흔들리는
느낌이 든다면, 치주 질환이
꽤 오랫동안 진행되어왔을
가능성이 높습니다.
특히 심한 치아 통증을
동반하는 경우 치주염 증상이
유력해집니다.
대표적인 치주염 증상들에 대해
고산동 치과 에서 말씀드리겠습니다.
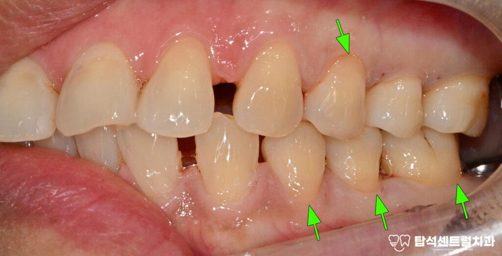
우선 잇몸이 붉어지면서 가벼운
자극에도 쉽게 출혈이 발생하게 됩니다.
또한 차갑거나 뜨거운 음식,
단 음식을 먹을 때 치통이
계속 발생할 수 있습니다.
그리고 고름이 나오거나
염증이 발생하여 통증이
생기는 경우가 있습니다.

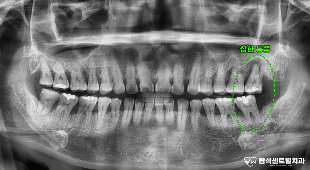
엑스레이 촬영을 통해 구강 상태를
확인하면 치주염으로 인한 전반적인
치조골 소실이 관찰되는 경우가 적지 않습니다.
치조골은 이를 지탱하는 뼈 조직으로
이 부분이 손상되면
치아 동요도가 증가하게 됩니다.



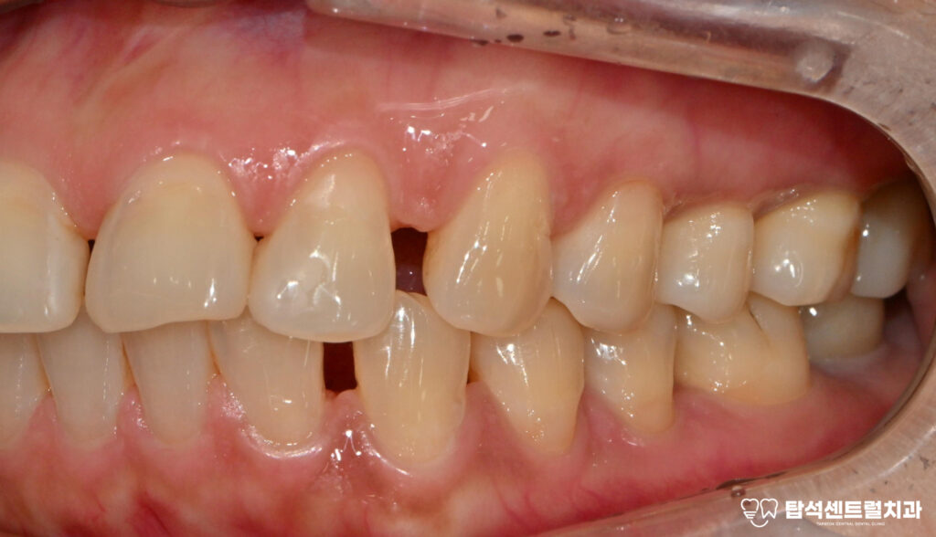
27번과 37번처럼
심한 동요도와 함께
통증을 호소하는 상황에서는
발치를 고려해야 되는 단계에
이르게 됩니다.
고산동 치과 케이스에서
말씀드린 해당 부위들을
발치한 후에는 치조골 소실량을
정밀하게 평가해야 됩니다.
윗니의 경우 발치와 보존술을 시행한 뒤
약 4개월 간 치유 기간을 거쳐
지연 식립 방식으로 진행하는 것이
안전합니다.
해당 방법은 이를 뽑은 자리에
골이식재를 채워 넣어 뼈가 흡수되는
것을 최소화하는 술식을 의미합니다.
반면 아래턱 치아는 발치 즉시 식립이
가능한데, 이는 치조골 상태가 비교적
양호하고 초기 고정력을 확보할 수 있기 때문입니다.


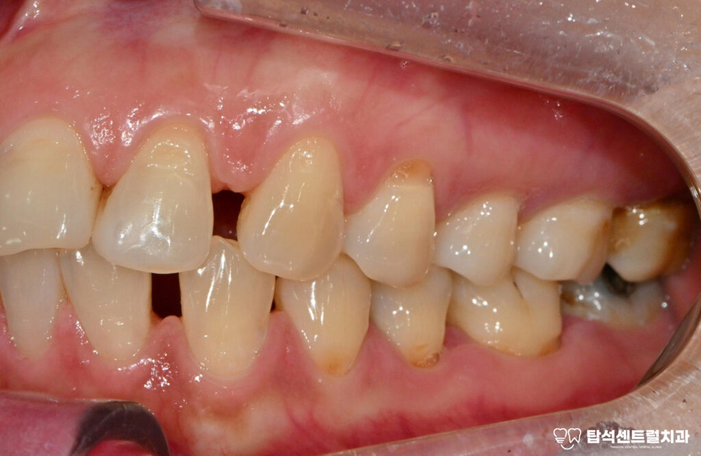
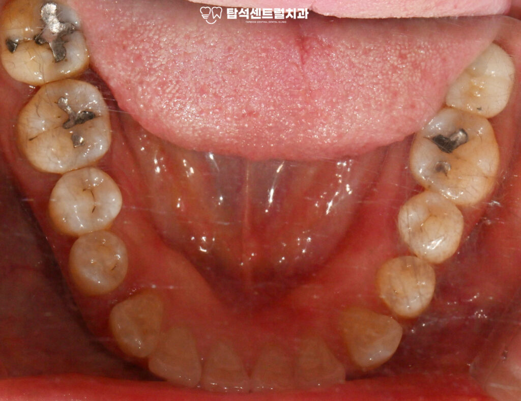
흔들리는 18번과 48번 사랑니 역시
발거가 필요한 상태였습니다.
사랑니는 안쪽에 위치해 있어
관리가 어렵고 염증을
유발하기 쉬운데요
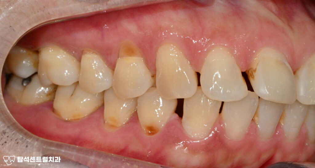
다수 치아에서 나타난 치경부 마모증은
레진으로 수복하는 것이 적절합니다.
치경부 마모증은 치아 목 부분이 닳아서
움푹 파인 상태를 말하며,잘못된 칫솔질이나
이갈이 습관으로 발생합니다.
아랫니 부위에 즉시 임플란트 식립과
발치와 보존술을 진행하기로 합니다.

당일 아랫니는 발거 후
픽스처를 심는 방식으로 진행됩니다.
즉시 식립은 발치와 식립을 한 번에 해결하여
치료 기간을 단축시킬 수 있다는 특징이 있습니다.
다만 뼈의 상태가 충분히 건강해야 하고
초기 안정성을 확보할 수 있어야 가능합니다.
위턱에도 향후 임플란트 식립을 진행하기로 합니다.
이 과정에서 골이식재와 차폐막을 사용해
뼈 재생을 유도하게 됩니다.


이 기간 동안 10번과 40번대 사랑니 발치도
계획대로 진행되었고,
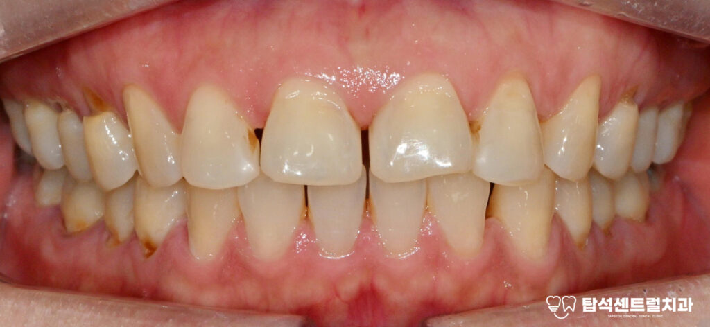
치경부 마모증 부위도 레진으로 수복하여
전반적인 구강 환경을 개선했습니다.
레진 수복을 통해 자연 치아색과 유사한 재료로
자연스러운 외관을 유지할 수 있었습니다.
약 3개월의 치유 기간이 지나면
위턱에 픽스처를 심을 차례입니다.
발치와 보존술로 어느 정도 치조골을 보존했지만
상악동저까지의 골 높이가 충분하지 않은 경우
상악동 거상술이 필요합니다.
상악동은 코 옆쪽에 위치한 빈 공간으로,
윗니 어금니 부위와 가까이 있습니다.
그렇기 때문에 이를 상실하게 되면
하방으로 성장이 진행되면서
치조골의 높이가 줄어들고,
임플란트 수술 시 주요 고려
대상이 됩니다.
상악동 거상술은
이 공간의 막을 조심스럽게 들어올린 뒤
그 아래 공간에 골이식재를 채워 넣어
임플란트를 심을 충분한
높이를 확보하는 술식입니다.
이때 상악동 막이 찢어지지 않도록
세심한 주의가 요구되는데요.

만약, 수술 중 천공이 발생하면
감염 위험이 높아지므로
신중한 작업이 요구됩니다.


이후 충분한 시간이 흘러,
아래턱에 2차 수술 후
형태에 맞는 크라운을
올려두었습니다.

3개월 후 임플란트와 뼈가 잘 결합되면
크라운을 올려 치료를 종결합니다.
그동안 사랑니도 함께 뽑아낸
모습이 확인되고 있습니다.





치주염은 초기에는 증상이 미미하지만
방치하면 치조골 소실로 이어져
결국 이를 잃게 만드는 질환입니다.
정기적인 스케일링과 올바른 칫솔질로
예방할 수 있으므로, 6개월마다
구강 검진을 받는 것이 중요합니다.
고산동 치과 에서 보여드린 케이스처럼,
임플란트 치료는
상실된 기능을 회복시키지만
자연치를 대체할 수는 없으므로,
무엇보다 예방이 우선입니다.
구강 건강은 전신 건강과도 밀접하게 연결되어 있어
평소 관리에 신경 써야 된다는 점 잊지 마세요!
감사합니다.
고산동 치과 였습니다.
진료 기간: 2025.05.20~2025.11.05
