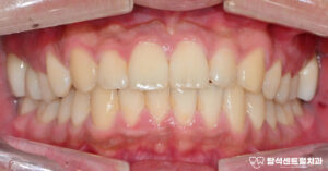
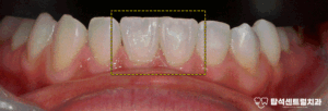
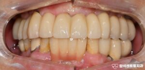
민락동 치과 기능을 잃은 치아 발치 후 전체 임플란트 식립 feat. IBS 가이드핀

안녕하세요,민락동 치과 입니다. 치아의 상실은 미적인 문제를 넘어,저작 기능, 발음, 그리고 심리적인 면에영향을 미치게 됩니다. 그러나 예후가 불량한 치아가 존재하는 경우에는해당 치아를 방치할 경우 주변 조직에도부정적인 영향을 미칠 수 있기…

Continue Reading민락동 치과 기능을 잃은 치아 발치 후 전체 임플란트 식립 feat. IBS 가이드핀

용현동 치과 외상으로 앞니 흔들림 있을 때, 치아를 보존하는 마지막 방법 : 잠간 고정술 설명 (+입술 봉합)

안녕하세요 용현동 치과 입니다. 빙판길 낙상, 구강 부상의 원인이 될 수 있습니다 겨울철에는 도로와 인도가단단하게 얼어붙는 경우가 많습니다.이런 빙판길에서 미끄러지면손을 짚기도 전에 얼굴부터바닥에 부딪히는 사고가 발생합니다. 특히 전치부는 충격에 취약한위치에…

Continue Reading용현동 치과 외상으로 앞니 흔들림 있을 때, 치아를 보존하는 마지막 방법 : 잠간 고정술 설명 (+입술 봉합)

송산역 치과 임플란트 주위염 증상 방치하여 통증, 골소실 일어난 경우 어떻게 치료해야 될까

안녕하세요송산역 치과 입니다. 임플란트 주위염, 방치하면 어떻게 될까요? 인공치아를 심은 지 오랜 시간이 지나면잇몸이 점점 붓거나 심한 통증이 느껴지면서심한 경우 치아가 흔들리기도 합니다. 특히 위턱 앞니 부위라면,음식을 베어 물 때…

Continue Reading송산역 치과 임플란트 주위염 증상 방치하여 통증, 골소실 일어난 경우 어떻게 치료해야 될까

의정부 치과 상악동염으로 인한 통증 발생의 이유? 임플란트 수술 case

안녕하세요 풍부한 의학 정보를 전해드리는, 의정부 치과 입니다. 의정부 치과 에서 알려드리는 치아와 부비동의 밀접한 관계 윗니 어금니 끝에서 통증이 느껴질 때대부분 충치나 잇몸 질환을 의심합니다.실제로 많은 경우, 치아 자체의…

Continue Reading의정부 치과 상악동염으로 인한 통증 발생의 이유? 임플란트 수술 case

민락동 치과 벌어진 앞니 레진 치료 선택한 이유? 라미네이트, 크라운 2가지 방법과 다른 차이점,특징 궁금하다면

안녕하세요민락동 치과 입니다. 벌어진 앞니 사이 공간, 어떻게 개선할 수 있을까 벌어진 앞니 사이에 공간이 있으면발음할 때 공기가 새어나가의사소통에 어려움이 생길 수 있습니다. 특히 ㅅ, ㅈ, ㅊ 같은 치경음을발음할 때…

Continue Reading민락동 치과 벌어진 앞니 레진 치료 선택한 이유? 라미네이트, 크라운 2가지 방법과 다른 차이점,특징 궁금하다면

고산동 치과 에서 임플란트 식립으로 상악동 거상술 시행 후 어금니 통증 잠재울 수 있을까?

안녕하세요치주염으로 인한 치아 통증을 어떤 방법으로 해결할 수 있는지 고산동 치과 에서 소개해드리겠습니다. 왼쪽 위 아래 어금니에서통증이 느껴진다면 잇몸 염증을 의심해볼 필요가 있습니다. 특히 음식을 먹을 때 불편함이 지속되거나 이가…

Continue Reading고산동 치과 에서 임플란트 식립으로 상악동 거상술 시행 후 어금니 통증 잠재울 수 있을까?

의정부 치과 흔들리는 치아 통증 부위, 상악동 거상술 부작용 줄여 치료 진행 위한 방법

안녕하세요 의정부 치과 입니다.치아의 상태가 좋지 않을 때,잇몸 치료로도 해결되지 않는 경우 우리는 임플란트 수술을 고려해볼 수 있습니다.그러나 수술 시에는 그만큼 충분한 골이 있어야 부작용 을 최소한으로 낮출 수 있는데요…

Continue Reading의정부 치과 흔들리는 치아 통증 부위, 상악동 거상술 부작용 줄여 치료 진행 위한 방법

민락동 치과 치아 사이 벌어짐 원인 분석하고 무삭제 라미네이트 치료 하는 과정 소개

안녕하세요민락동 치과 입니다.벌어진 앞니 사이 공간이 있다면자연스럽게 눈길이 가게 됩니다. 특히 아랫니가 벌어져 있으면웃을 때 더욱 눈에 띄어고민이 깊어지는 경우가 많습니다.앞니가 벌어져 보이는 이유는여러가지가 있습니다. 선천적으로 치아 크기가 작거나 턱…

Continue Reading민락동 치과 치아 사이 벌어짐 원인 분석하고 무삭제 라미네이트 치료 하는 과정 소개

송산 치과 충치로 인한 신경 치료 & 임플란트 수술 case_사랑니 발치 진행한 복합 치료 소개

안녕하세요송산 치과 입니다. 정기적인 구강 검진을 받으시다 보면,치아 여러 곳에서 충치가 발견되는 경우가 있습니다. 충치는 시간이 지날수록점점 깊어지고 주변 조직으로확산되는 특성을 가지고 있습니다.초기에는 작은 점 정도로 진행되었던 우식(충치)을방치하게 되면 치아…

Continue Reading송산 치과 충치로 인한 신경 치료 & 임플란트 수술 case_사랑니 발치 진행한 복합 치료 소개

충치로 파절된 치아 신경 치료 지르코니아 크라운 치료, 송산동 치과 증례

안녕하세요송산동 치과 입니다. 오늘은 어금니에 발생한 깊은 충치를 제거하기 위해서,왜 신경치료로 이어지게 되는지그 과정과, 중요성에 대해자세히 설명해드리겠습니다. 우리의 치아는 겉으로 보이는 단단한 법랑질과 상아질 아래에신경과 혈관으로 구성된 치수 조직을 품고…

Continue Reading충치로 파절된 치아 신경 치료 지르코니아 크라운 치료, 송산동 치과 증례

용현동 치과 : 소아 다수 유구치에서 발견된 충치, 신경치료 및 ss크라운 & 레진 수복 진행

안녕하세요, 용현동 치과 대표원장 곽승원입니다. 자녀의 유치는 어차피 빠질 치아라 생각하며관리를 소홀히 하는 경우가 있습니다. 그러나 유치의 건강은 아이의 치아 발달과 성장에매우 중요한 역할을 한다는 사실을 알고 계셨나요? 유치는 영구치보다…

Continue Reading용현동 치과 : 소아 다수 유구치에서 발견된 충치, 신경치료 및 ss크라운 & 레진 수복 진행

임플란트 식립을 위한 상악동 거상술 시 상악동이 천공되었다면?

안녕하세요. 탑석센트럴치과 대표원장 곽승원입니다. 상악동 거상술(Sinus Lift)은 상악 후방 어금니 부위의 뼈가 부족해 임플란트를 식립할 자리가 없을 때 시행합니다. 상악동은 얇기 때문에 이 과정에서 천공될 때가 있습니다. 오늘은 이런 경우…

Continue Reading임플란트 식립을 위한 상악동 거상술 시 상악동이 천공되었다면?

의정부 용현동 치과 : 신경치료가 되어있는 앞니 뿌리 부러짐, 발치 후 임플란트 즉시 식립 & ISQ 측정

안녕하세요. 의정부 용현동 치과 의사 곽승원입니다. ​ 치아의 뿌리가 부러지는 이유로는 스포츠 활동 시 공이나 다른 물체에 맞거나, 넘어지면서 바닥에 얼굴을 부딪히는 경우가 있습니다. ​ 또한 딱딱한 음식을 먹다 갑자기…

Continue Reading의정부 용현동 치과 : 신경치료가 되어있는 앞니 뿌리 부러짐, 발치 후 임플란트 즉시 식립 & ISQ 측정

송산동 치과 , 시멘트가 필요없는 하이니스 베이스 임플란트 식립 과정

안녕하세요. 송산동 치과 의사 곽승원입니다. ​ 자연치는 신경이 있기 때문에 치주질환이 생기면 통증을 느낄 수 있으나, ​ 임플란트 같은 경우에는 신경이 없기 때문에 상당히 많은 치조골 소실이 일어나야 그 문제를…

Continue Reading송산동 치과 , 시멘트가 필요없는 하이니스 베이스 임플란트 식립 과정

송산 치과 , 턱관절(TMD) 소리 및 개구 시 불편감 PDRN 주사를 이용해 치료

안녕하세요. 송산 치과 의사 곽승원입니다. ​ 현대인들의 스트레스와 잘못된 생활습관으로 턱 부위의 통증을 호소하는 사람들이 점점 늘어나고 있습니다. ​ 아침에 일어나면 턱이 뻐근하거나 밥을 먹을 때 불편을 느끼는 경우가 많아졌습니다.…

Continue Reading송산 치과 , 턱관절(TMD) 소리 및 개구 시 불편감 PDRN 주사를 이용해 치료