안녕하세요
민락동 치과 입니다.
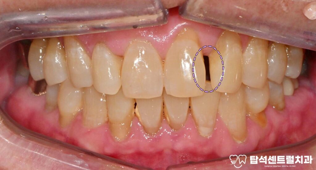
벌어진 앞니 사이 공간, 어떻게 개선할 수 있을까
벌어진 앞니 사이에 공간이 있으면
발음할 때 공기가 새어나가
의사소통에 어려움이 생길 수 있습니다.
특히 ㅅ, ㅈ, ㅊ 같은 치경음을
발음할 때 부정확해지는 경우가 많고
음식을 윗니로 자르거나
저작하는 기능도 제한될 수 있습니다.
벌어진 공간 사이로 음식물이 끼면
잇몸에 자극을 주어
염증이 발생하는 상황도
생각해볼 수 있습니다.
혹은, 치아와 턱뼈의 크기가
균형을 이루지 못하는 경우
사이에 비어 있는 공간이 생깁니다.

턱뼈가 이에 비해 큰 경우나
선천적으로 개수가 부족하다면
이런 현상이 나타날 수 있습니다.
혀를 내미는 습관이나
엄지손가락을 빠는 습관도
윗니를 밀어내어
사이 공간을 만드는
원인이 될 수 있습니다.




교합 관계가 맞지 않거나
잇몸 질환으로 인해
치조골이 약해진 경우에도
이가 이동하면서
공간이 발생하기도 합니다.
치료 방법의 선택 기준
윗니 사이 공간을 개선하는
방법은 여러 가지가 있습니다.
크기와 위치,
전반적인 상태를 평가하여
적절한 방법을 선택합니다.

작은 공간이나 치아 형태 변화가
적게 필요한 경우에는
레진 치료를 고려할 수 있습니다.
더 넓은 범위의 개선이 필요하면
라미네이트나 크라운 같은
보철을 선택하기도 합니다.
벌어진 앞니 레진 치료의 특징
레진은 실제 색상과 유사한
재료를 사용하여 표면에
직접 부착하는 방식을 말합니다.
실제 삭제량이 적거나 거의 필요 없어
원래의 구조를 보존할 수 있고,
당일에 진료를 마칠 때가 많아
내원 횟수가 적다는 점에서
전체적인 시간을 단축시킬 수 있습니다.
비용 면에서도 다른 보철 치료에 비해
부담이 덜한 편입니다.
다만 레진은 시간이 지나면
변색될 수 있고,
강도가 세라믹에 비해 약해
깨지거나 떨어질 가능성이
있다는 점을 알아둘 필요가 있습니다.
라미네이트의 특징과 고려 사항
다음은 민락동 치과 에서
라미네이트 치료에 대해
말씀드리겠습니다.
붙일 보철의 앞면을 얇게 제작한 후
세라믹 재질의 보철을
부착하는 방법입니다.
심미성이 우수하고 변색에 강하며
내구성도 좋은 편에 속하는데요.
치아 삭제량은
크라운에 비하면 적어
구조를 비교적 보존합니다.
그러나 비용이 들고
제작 기간이 필요하여
여러 번 내원하는 경우가 있고,
무엇보다 한 번 삭제된 부분은
되돌릴 수 없다는 점을 고려해야 됩니다.
크라운의 특성
크라운은 치아 전체를
감싸는 형태의 보철물로
앞니 벌어짐뿐만 아니라,
손상이 심한 경우에도 적용할 수 있습니다.
강도와 내구성이 뛰어나고
형태와 색상을 조절할 수 있어
광범위한 개선이 가능합니다.
다만 치아 삭제량이 많아
신경 자극 가능성이 있고
비용과 시간이 많이 소요되며
구조 손실이 크다는 점에서
신중한 선택이 필요합니다.
맞춤 계획의 중요성
구강 내 상태는 사람마다 다르기에
동일한 방법이 모두에게 적용되는 것은 아닙니다.
구강 건강 상태, 잇몸 상태, 교합 관계, 습관 등을
종합적으로 평가하여 개인에게
적합한 계획을 수립하는 것이 중요합니다.
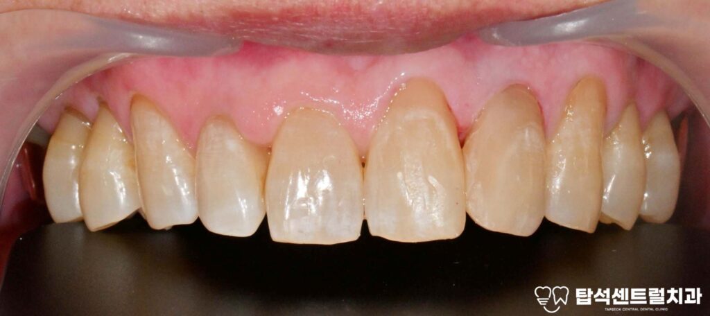
벌어진 앞니 부위 결과와 관리 방법 소개

벌어진 윗니 사이 부분을 메운 후에는
자연스러운 형태로
회복되는 것을 확인할 수 있습니다.

발음 개선과 식사 기능 향상,
심미적 만족도가 높아지기를
기대할 수 있습니다.
딱딱하거나 질긴 음식을
윗니로 물어뜯는 행동은
금하는 것이 좋습니다.
벌어진 앞니 부위를 방치하면?
발음 장애가 지속되고
식사할 때 불편함이 계속되어
생활의 질이 저하됩니다.
치아 사이에 음식물이 자주 끼어
잇몸 염증과 충치가 발생할
위험이 높아지며,
인접치의 기울어짐 같은
2차 문제가 생길 수 있습니다.
정기적인 검진을 통해
상태를 확인하고
필요시 수리나 재치료를
받는 것이 권장됩니다.
민락동 치과 에서 보여드린 증례처럼
각각의 장단점을 이해하고
개인의 상황에 맞는
적절한 방법을 선택하는 것이
중요합니다.
정확한 진단과 체계적인 계획을 통해
건강하고 기능적인 부분을
유지할 수 있기를 바랍니다.
감사합니다.
민락동 치과 였습니다.
진료 기간: 2025.08.25
