안녕하세요
송산역 치과 입니다.
임플란트 주위염,
방치하면 어떻게
될까요?
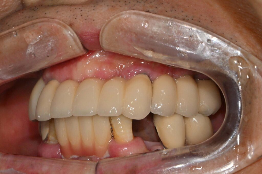
인공치아를 심은 지 오랜 시간이 지나면
잇몸이 점점 붓거나 심한 통증이 느껴지면서
심한 경우 치아가 흔들리기도 합니다.



특히 위턱 앞니 부위라면,
음식을 베어 물 때 불편함을 느끼거나
잇몸에서 출혈이 생기는 증상이 동반됩니다.


냄새가 나거나 고름이 비치기도 하는데
이러한 증상은 임플란트 주위염을
의심해 볼 수 있는 대표적인 신호입니다.
임플란트 주위염이란 인공 치아를 감싸고 있는
잇몸과 치조골에 염증이 생기는 질환입니다.
자연치아에 발생하는 치주염과 비슷하다고
생각하면 이해하기 쉽습니다.
치주염이 잇몸뼈를 녹이듯이
이 질환도 주변 뼈를 서서히 흡수시켜
결국 심어둔 치아를 지탱하지 못하게 됩니다.
세균성 치태가 치아와 잇몸 사이에 축적되면
처음에는 잇몸에만 염증이 생기는데요
이 단계에서 적절한 관리가 이루어지지 않으면,
염증이 뼈까지 진행되어
임플란트 주위염으로 발전하게 됩니다.
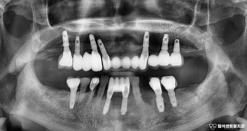
골소실과 동요도가
나타났다면

치아 주변으로 골소실이 진행되면
방사선 사진에서 뼈가 빠져나간 부분이
검게 보이게 됩니다.


뼈가 녹아내리는 속도는 개인마다 다르지만
한번 시작되면 점점 빨라지는 경향이 있어
조기 발견이 중요합니다.
이 상태가 지속되면 보철에
동요도가 생기기 시작합니다.
동요도란 심어둔 치아가 흔들리는 정도를 말하며,
손가락으로 살짝 밀었을 때 움직임이
느껴진다면 상당히 진행된 상태입니다.
자연치아는 치주인대라는 쿠션이 있어서
약간의 움직임이 정상이지만,
인공으로 심은 치아는 뼈와 직접 결합하기 때문에
조금이라도 흔들린다면
문제가 있다는 의미입니다.
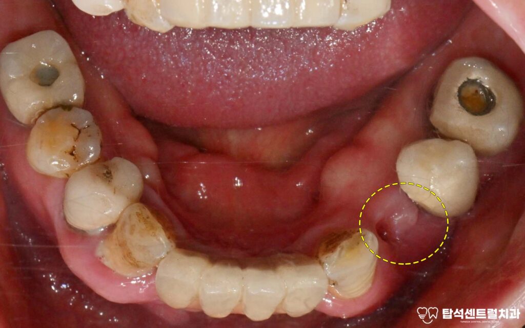
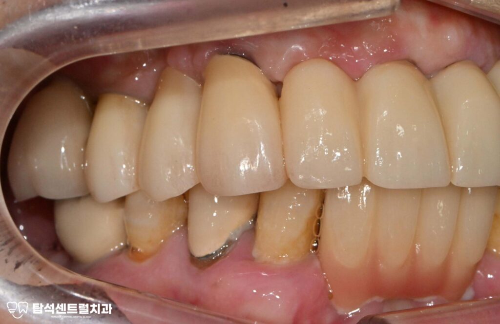
예를 들어 위턱 앞니 부위에 심은
브릿지 형태의 보철을 살펴보면
여러 개의 고정체가 연결되어 있어도
특정 부위에만 골소실이 집중될 수 있습니다.
한쪽은 상태가 양호하더라도 다른 쪽에
임플란트 주위염이 발생하면
해당 부위만 선택적으로 제거하고
새로운 치료 계획을 수립하게 됩니다.
제거 후 재식립이
필요한 경우
골소실이 심하게 진행된 고정체는
보존이 어려워 제거해야 될 수 있습니다.
흔들리는 상태에서 무리하게 사용하면
주변의 건강한 뼈까지 손상될 수 있기 때문입니다.

제거한 픽스처의 모습입니다.
염증이 퍼지면서 인접한 자연치아나
다른 고정체에도 영향을 줄 수 있어,
적절한 시기에 결단을 내리는 것이 중요합니다.
이때 남아있는 건강한 부위를 잘 활용하면서
장기적인 안정성을 확보하는 것이 핵심입니다.
앞니 부위의 경우 심미성과 기능성을 모두
고려해야 하므로 추가적인 고정체 식립을
계획하기도 합니다.
전치부는 웃을 때 보이는 영역이라
잇몸 라인과 치아 형태가 자연스러워야 하므로
신중한 접근이 필요합니다.
또한 다른 부위에 결손치가 있다면
함께 식립하여 전체적인 저작 기능을
회복하는 방향으로 진행됩니다.
어금니 부위가 비어 있으면 음식을 저작하는 힘이
앞니로 집중되어 부담이 커지기 때문입니다.
골이식의 역할과 필요성
고정체를 제거한 자리는 잇몸과 치조골이
함몰되기 쉬운 상태가 됩니다.

특히 앞니 부위는 외관상 티가 나기 쉬워
이를 방지하기 위해 광범위한 골이식을 시행합니다.
골이식이란 부족한 뼈를 보충해 주는 시술로
자가골이나 인공뼈 재료를 사용합니다.
새로 심은 부위 주변에도
치조골의 폭을 유지하기 위해
골이식을 함께 진행하는 경우가 많습니다.
뼈가 얇은 부위에서는 광범위하게
이식재를 적용하여 볼륨을 확보합니다.
충분한 뼈의 양과 두께가 확보되어야
임플란트 주위염의 재발 위험을 줄이고
오랜 기간 건강하게 사용할 수 있습니다.

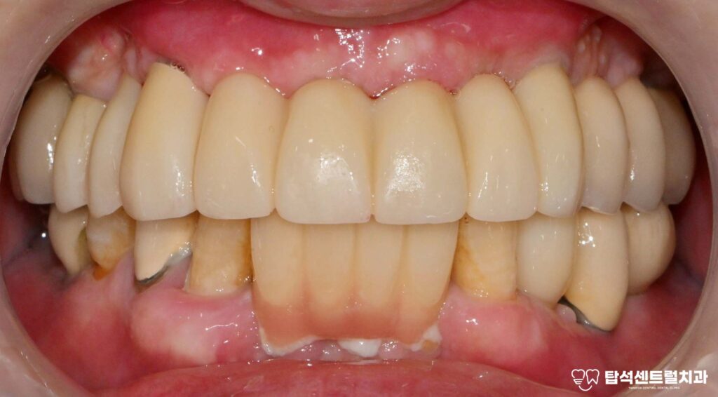
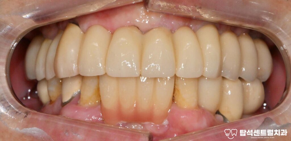
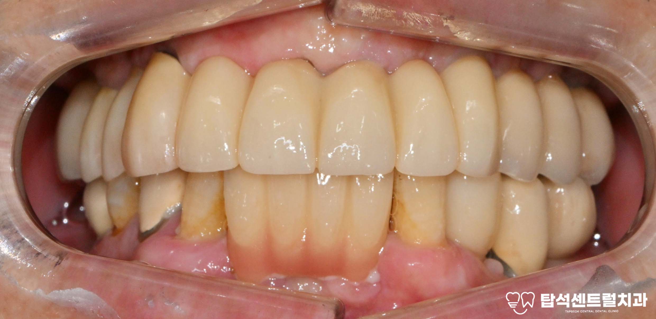
다행히, 왼쪽 위턱의 송곳니는 상태가 양호하여
임플란트 한개 제거 후 장기적인 안정성을
위해 앞니에 2개의 임플란트 를
추가 식립한 모습입니다.
이때, 결손되어 비어 있었던
아래 작은 어금니쪽에도
임플란트 하나를 같이 심어주었습니다.
골이식과 임플란트 수술이
잘 진행된 이후로, 수개월에 걸쳐
뼈와 이식재가 단단하게 결합하게 됩니다.


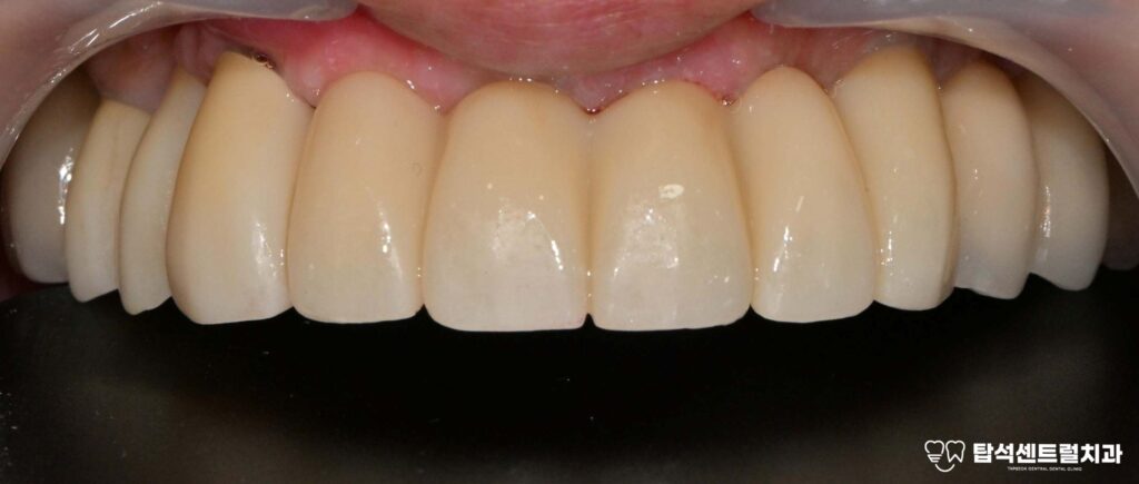
이후 잇몸이 회복되면 제작할 보철의
색을 고릅니다.
자연스러운 색으로 제작하여야,
보철을 올렸을 때도
어색한 느낌 없이 조화로워 보입니다.


최종 보철을 제작하기 전까지
임시 치아를 올려 심미성과
저작 기능을 잃지 않도록 합니다.
정기적인 관리의 중요성





임플란트 주위염은 초기에 발견하면
비수술적 방법으로 관리가 가능하지만
골소실이 진행된 후에는 치료 범위가 커집니다.
자연치아와 달리 심은 치아는 통증에 둔감해서
문제가 상당히 진행될 때까지
자각 증상이 없는 경우도 많습니다.
따라서 정기적인 검진을 통해
보철 주변 상태를 확인하고
문제가 발견되면 조기에 대응하는 것이
구강 건강을 지키는 방법입니다.
칫솔질과 함께 치간 칫솔이나 구강 세정기를
활용하면 세균 축적을 줄이는 데 도움이 됩니다.
시술 후에도 꾸준한 관심을 기울여야
오랫동안 사용할 수 있습니다.
흡연이나 당뇨와 같은 전신 질환이 있는 경우
염증 발생 위험이 높아지므로
더욱 세심한 관리가 필요합니다.

무엇보다 정기 검진을 통해 문제를 예방하고
이상 징후가 느껴지면 미루지 말고
전문가의 진단을 받아보시기 바랍니다.
작은 관심과 꾸준한 노력이 구강 건강을 오래
유지하는 밑거름이 될 수 있습니다.
감사합니다.
송산역 치과 였습니다.
진료 기간: 2025.08.05~2025.11.17
