안녕하세요
용현동 치과 입니다.
빙판길 낙상, 구강 부상의 원인이 될 수 있습니다
겨울철에는 도로와 인도가
단단하게 얼어붙는 경우가 많습니다.
이런 빙판길에서 미끄러지면
손을 짚기도 전에 얼굴부터
바닥에 부딪히는 사고가 발생합니다.
특히 전치부는 충격에 취약한
위치에 있어서 넘어질 때
직접적인 타격을 받기 쉽습니다.
아침 출근길이나 등굣길에
빙판에 미끄러져 입 안쪽까지
다치는 상황이 생길 수 있는데요.
추운 날씨에 몸이 경직되어 있으면
넘어질 때 순간적인 대처가
어려워지기도 합니다.
이때 앞니 흔들림이 있다면,
최대한 자연치아를 보존하기 위해
신속하게 적절한 진료를 받는 것이
무엇보다 중요합니다.
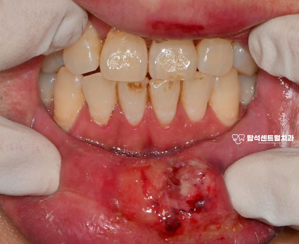
낙상 후 나타날 수 있는 증상들


빙판길 낙상 사고가 발생하면
위아래 입술에 찢어진 상처가
생기는 경우가 많습니다.

또한 상악 중절치라고 불리는
윗쪽 앞부분에 금이 가거나
뿌리 부분까지 다칠 수 있습니다.
입술의 열상은 출혈이 동반되어
통증을 유발하기도 합니다.
하지만 연조직은 혈류 공급이
풍부하여 적절한 처치를 받으면
회복이 비교적 잘 되는 편입니다.

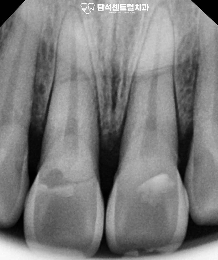
엑스레이나 CT 촬영을 통해
내부 상태를 정밀하게 확인하게 됩니다.
육안으로는 보이지 않는
미세한 균열이나 뿌리 골절을
영상 검사로 파악할 수 있습니다.
만약 심하게 동요도가 있고
주변 조직과의 연결이 끊어져
회복이 어려운 상황이라면
발치를 고려해야 될 수도 있습니다.

AI로 제작된 이미지 입니다.
그러나 구강 상태에 따라
앞니를 살릴 수 있는
방법이 있음을 용현동 치과 에서
안내드립니다.
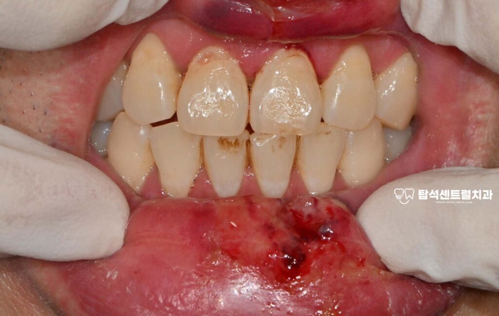
잠간고정술이란 무엇인가요?
잠간고정술은 동요도가 있는 부위를
일정 기간 묶어서 안정시키는
방법입니다.
충격을 받아 빠질 뻔한 상황이거나
잇몸 질환으로 인해 동요도가
심해졌을 때 시행하게 됩니다.
문제가 있는 부위뿐 아니라
양옆의 건강한 곳까지 함께
와이어로 연결하여 묶어줍니다.
용현동 치과 에서 보여드리는
케이스의 경우에는 앞니부터 송곳니까지
이어지는 치아 (#13=12=11=21=22=23) 6개에
와이어를 부착하였습니다.

잠간 고정술을 통해 발치 없이
자연 상태를 보존할 수 있는
기회를 얻을 수 있습니다.
물론 모든 경우에 성공하는 것은
아니지만 시도해볼 가치가 있는
보존적 치료 방법입니다.
연조직 부상은 어떻게 치료하나요?

AI로 제작된 이미지 입니다.
입술이 찢어진 경우에는
연조직 봉합을 시행합니다.
이때 특수 소재의 봉합사를 사용하여,
상처 부위를 정교하게 꿰매게 됩니다.
봉합사의 종류에 따라
실밥을 제거하는 시기가 달라집니다.
또한 며칠간 지켜주셔야 되는
주의 사항이 있습니다.
봉합 후에는 상처가 아물 때까지
자극적인 음식을 피하고
청결하게 관리하는 것이 필요합니다.
뜨겁거나 매운 음식은
회복을 지연시킬 수 있으니
주의가 필요합니다.
상처 부위에 음식물이 닿지 않도록
식사 후에는 가볍게 헹궈주시고
처방받은 연고나 약을 잘 사용하시면
회복에 도움이 됩니다.
잠간고정술 시행 과정
이 시술을 시행할 때는 전치부와
주변 부위를 와이어로 연결합니다.
예를 들어 윗쪽 송곳니부터
반대편 송곳니까지 총 6개를
함께 묶을 수 있습니다.

이렇게 묶은 후에는
약 한 달 정도 경과를 지켜보며
동요도 변화를 확인합니다.
이 기간 동안 주변 조직과
다시 안정적으로 결합하도록
기다리는 것입니다.
이 치료 기간 중에는
전치부에 무리가 가지 않도록
단단한 음식은 피하는 것이 좋습니다.
사과나 당근처럼 깨물어야 하는
음식은 잘게 잘라서 드시거나
어금니로 씹는 것을 권장합니다.
젓가락이나 숟가락이 부딪히지
않도록 주의하시고 딱딱한 빵이나
견과류도 피하시는 것이 좋습니다.
무심코 단단한 것을 베어 물면
회복 과정에 영향을 줄 수 있습니다.
잠간고정술 이후 경과 관찰
한 달 정도 경과를 지켜본 후,
동요도가 줄어들면
장치를 제거하게 됩니다.
상태에 따라 신경 치료나
크라운 수복 같은 추가 처치가
필요할 수 있습니다.
반면 시간이 지나도
상태가 호전되지 않으면
발치를 고려해야 할 수도 있습니다.
이 경우에는 임플란트나 브릿지 같은
수복 치료를 계획하게 됩니다.
장치 제거 후에도 정기적으로
내원하여 경과를 확인하는 것이
좋습니다.
간혹 시간이 지나면서 변색이 되거나
추가적인 문제가 발생하는 경우도
있기 때문입니다.
겨울철 구강 부상, 빠른 내원이 중요합니다
겨울철 낙상으로 다치거나
동요도가 생겼다면 가능한 빨리
의료 기관에 내원하시는 것이 좋습니다.
초기에 적절한 처치를 받으면
자연 상태를 보존할 확률이 높아집니다.
문제가 있음에도 증상을 방치하면
증상이 악화되어 결국
회복이 어려운 상황으로 이어질 수 있습니다.
잠간고정술 같은 보존적 방법으로
튼튼하게 앞니를 지킬 수 있는 기회를
놓치지 않으시길 바랍니다.
또한 낙상 사고는 누구에게나
갑작스럽게 찾아올 수 있으니
미끄러운 길을 걸을 때는
항상 주의하시기 바랍니다.
모두가 건강한 치아가
될 때까지, 용현동 치과 에서는
여러가지 케이스로 찾아뵙겠습니다.
감사합니다.
